• Select a Practice
    • Jesmond
    • Ponteland
    • Stanley
Honour Health
  • Home
  • About
    • Join our team
    • Meet Onkar Dhanoya
    • Meet Our Dental Team
    • Meet Ian Corbett
    • Patient Information
    • Patient Privacy Notice
    • Zero Tolerance Policy
  • Smile Gallery
  • Dental
    • Dental Health Assessment
    • Dental Hygiene
    • Invisalign
    • Teeth Whitening
    • Composite Bonding
    • Veneers
    • Root Canal Treatment
    • Dental Implants
    • White fillings
    • Crowns and Bridges
    • Orthodontics
    • Sedation
    • NHS Treatments
  • Skin
    • Dermal Fillers
    • Anti wrinkle treatments
    • Honour Plasma Facial
    • Hyperhidrosis
  • Practices and Fees
    • Jesmond
    • Stanley
    • Ponteland
    • Honour Health Club
    • 0% Finance
    • Gift Vouchers
    • Testimonials
  • Dentist Referrals
  • Blog
Select Page

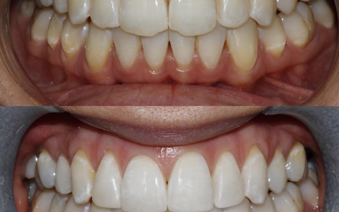
home whitening and composite bonding

by Helen | Jul 23, 2019

before and after photo of composite bonding at Honour Health in Newcastle

composite bonding in Newcastle

Categories

  • Careers
  • Child oral health
  • Dental
  • Dentistry
  • Health
  • Mouth Hygiene
  • Skin
  • Uncategorized

Our Most Popular Posts

  • Supporting our community
  • National Dentist’s Day: 6 March
  • We’ve achieved a 96% recommendation rating!
  • Supporting The Rotary Club’s International Dental Project
  • We’ve received a 98% recommendation rating!

  • Facebook
  • X
  • RSS

Designed by Elegant Themes | Powered by WordPress

We use cookies to ensure that we give you the best experience on our website. By using our website and agreeing to this policy, you consent to our use of cookies.AcceptDeclinePrivacy policy