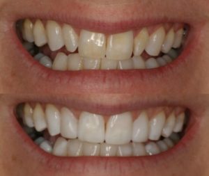
before and after images of composite veneers at Honour Health in Newcastle by Helen | Aug 23, 2019 before and after images of composite veneers at Honour Health in Newcastle